Periondontology Master Course
Prof. Giovanni Zucchelli
Mucogingival esthetic surgery around teeth
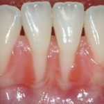
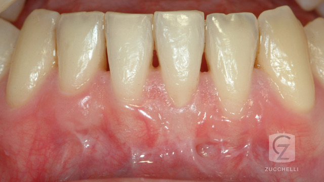
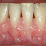
Abstract: Treatment of gingival recession has become an important therapeutic issue due to the increasing number of cosmetic request from patients. Patients aesthetic demand, due to the exposure, during smiling or function, of portions of the root surface, is the main indication for root coverage surgical procedures. Very often the most coronal millimeter/s of the root exposure is the only visible part of the recession when smiling, therefore the presence and/or the persistence after therapy, even of a shallow recession may be an aesthetic problem for the patient. Thus, complete root coverage, up to the cemento-enamel junction, is the goal to be achieved when patient complains about the aesthetic appearance of his/her teeth. New knowledge in soft tissue surgical management permits to achieve esthetic coverage in gingival recession with minimally invasive connective tissue grafts. Another factor to be considered is most frequently gingival recessions affect group of adjacent teeth In order to minimize the number of surgeries and to optimize the aesthetic result, all the contiguous recessions should be treated at the same surgical time. A new approach of the coronally advanced flap has been used to treat multiple recession defects affecting adjacent teeth in patients with aesthetic demands. This surgical technique has been demonstrated to achieve complete root coverage in all treated recessions in most of the patients irrespective to the number of recessions treated in each intervention. These outcomes can be long term maintained.Program: Gingival recession: diagnosis and prognosis Combined restorative-periodontal treatment for the aesthetic gaol Surgical treatment of single type recession defect - Coronally advanced flap - Connective tissue graft harvesting techniques - Bilaminar techniques Surgical treatment of multiple recession defect in the upper jaw - Coronally advanced flap - Bilaminar techniques Surgical treatment of multiple recession defect in the lower jaw - Coronally advanced flap - Bilaminar techniques Treatment of cervical abrasion defects associated with gingival recession: selection of the most appropriate treatment approach The use of emdogain in mucogingival surgery The use of substitutes of the connective tissue graft in mucogingival surgery Hands on • The workshop will enable participant to do: • Flap design for the treatment of single and multiple recession defects • Split-full-split flap elevation • Connective tissue graft Harvesting technique • Handle and use of connective tissue graft sustitute • Suturing techniques
Video of all surgical procedures will be provided to partecipants
课程安排
牙周龈粘膜美容手术
摘要:
由于有整容需求的患者数量增加,针对牙龈萎缩的治疗已经变成了一项重要的治疗问题。 由于在微笑时或者功能期间,暴露了部分牙根面,满足患者的美学需求是根部覆盖外科手术的主要目的。在牙龈萎缩的状况下, 暴露牙根最尖端的几毫米通常就是微笑时唯一可见的部分,因此,治疗后的存在或持续性萎缩,对患者来说还可能是个美学上的问题。因此,当患者在抱怨他们的牙齿美学外观时,我们的目标就是把牙根覆盖至牙骨质和牙釉质的连接处。 对软组织外科手术方面的新的认识,使我们能够在牙龈萎缩中运用微创结缔组织移植物来实现美学覆盖。
另一个需要考虑的因素是,一组相邻牙的牙龈萎缩,所有相邻的萎缩牙龈要在同一手术时间进行治疗,来减少手术次数并优化美学效果。在一些有美学需求的患者上,一种新的冠向复位瓣方法被用于治疗影响多个邻近牙的牙龈萎缩。该手术方法表明,在所有的牙龈萎缩治疗中都可以达到暴露牙根的完全覆盖,在大部分患者来说所有手术结果和萎缩数量无关 。这些手术的美学效果可以得到长期维持。
程序:
牙龈萎缩: 诊断和预后
美学目的的综合牙周修复治疗 单位点萎缩缺损的手术治疗 - 冠向复位瓣 - 结缔组织移植物提取技术 - 双乳头瓣移位术 上颌多位点牙龈萎缩缺损的手术治疗 - 冠向复位瓣技术 - 双乳头瓣移位术 下颌多位点牙龈萎缩缺损的手术治疗 - 冠向复位瓣技术 - 双乳头瓣移位术 牙颈磨损缺损伴随牙龈萎缩的治疗: 选择最合适的治疗方法 龈粘膜手术中牙釉基质蛋白(Emdogain)的运用 龈粘膜手术中结缔组织移植物替代物的运用 所有手术过程的视频
手动
研讨会参与者可以进行以下几项操作: 用于治疗单个或多位点牙龈萎缩缺损的翻瓣设计 部分瓣和全厚瓣翻瓣 结缔组织移植物提取 处理和使用结缔组织移植物替代品 缝合技术
Mucogingival esthetic surgery around implants
Abstract: The recession of the buccal soft tissue margin is a frequent complication of well integrated dental implants. The appearance of metallic structure or even their transparency through the thin buccal soft tissues are common reasons for patient aesthetic complains. Moreover, bad implant installation frequently results in excessive apical dislocation of the buccal soft tissue margin of the implant supported crown. Soft tissue plastic surgical procedures and bilaminar techniques in particular, can be successfully used in combination with a pre and postsurgical prostethic approaches to increase the volume of the interdental soft tissue, to treat buccal gingival recessions and soft tissue dehiscence around dental implants and to provide the new implant supported crown with an esthetic transmucosal emergency profile. A new mucogingival approach applied to delayed or immediate post-extraction implant placement and loading will be presented. Program: Boundle and alveolar bone The role of keratinized tissue versus soft tissue thickness Mucogingival surgery for soft tissue dehiscence coverage around implants Keratinized tissue augmentation procedures before during and after implant placement Mucogingival approach during implant placement: dental vs periodontal reasons for tooth extraction Mucogingival approach and delayed implant placement Mucogingival approach in combination with immediate post extraction implant placement and immediate loading. Soft tissue augmentation and simultaneous guided implant placement in the aesthetic zone The soft tissue approach for implant installation after tooth extaction for periodontal reason. Soft tissue augmentation procedures in edentulous areas before implant rehabilitation Orizontal soft tissue augmentation procedures Orizontal and vertical soft tissue augmentation procedures The connective tissue platform technique Papilla reconstruction around implants: is it possible?Video of all surgical procedures will be provided to partecipants
种植体周围的龈粘膜美学手术
摘要
颊侧软组织边缘萎缩是整合良好的种植体周围常见并发症。 金属结构的外观或甚至是可以透过薄的颊侧软组织的透明度都是造成患者审美不如意的常见原因。此外,种植体的不当安装也经常导致种植体支撑的冠部颊侧软组织边缘过度的顶端脱位 。特别是在软组织外科手术和双乳头瓣移位技术中,我们可以前瞻性地把术前和术后成功地结合起来,达到增加牙间软组织体积,治疗口腔牙龈萎缩和牙种植体周围的软组织开裂的目的,并给新种植体支撑冠提供一个美学上的粘膜应急轮廓。我们将介绍一个新的适用于拔牙后延迟型或即刻型的种植体放置和加载的粘膜处理方法。
课程将涵盖以下几个主题:
束骨和牙槽骨 角化组织对软组织厚度的作用 用于植入物周围软组织开裂的龈粘膜手术 在种植体植入期间和之后进行角化组织增强手术 放置种植体期间的龈粘膜手术: 牙齿原因拔牙和牙周原因拔牙的对比 龈粘膜手术和延迟种植 龈粘膜手术结合拔牙后即刻种植体放置与装载 美学区域的软组织增强同步引导植入物放置 牙周原因拔牙后安装种植体时的软组织处理方法 无牙区种植体康复前的软组织增强术 横向软组织增强术 横向和纵向软组织增强程序 结缔组织平台技术 种植体周围龈乳头的重建,是否有可能?
所有手术的操作视频




